Dental Implants in Koramangala,Bangalore – JP Dental Clinic


Dental Implants

Missing teeth don’t just affect how you look — they can impact how you eat, speak, and feel. At JP Dental Clinic, Koramangala, we offer world-class Dental Implant solutions that restore function, aesthetics, and confidence — permanently.

If you have missing or heavily damaged teeth that need to be replaced, dental implants are the right solution for you. Dental implants are a secure and a lifelong solution to missing teeth. A surgical grade titanium implant screw is used to replace the tooth root and is surgically placed in the jaw. The implant fuses with jaw bone and serves as an anchor for a crown or other prosthesis. Then, an abutment is screwed into the implant and the prosthetic crown is attached either by a screw or dental cement to finish your permanent replacement tooth.

An implant looks and functions like a natural tooth. Dental implants are also used as a strong foundation for implant-retained or implant-supported dentures and bridges.

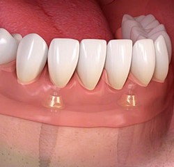
We offer the following dental implants procedures at JP Dental Clinic:

  • Single dental implant - Implant placement and restoration
  • Dentures & Implants - Implant placement and denture stabilization with two, four and six implants
  • Dental Implant bridge - Implant placement and restoration of multiple missing teeth
  • Fixed hybrid dentures with Implants - Implant placement & fixed denture with four or six Implants(non removable type)

The Dental Implants section is headed by Dr.Rajesh Panchineni, a famous and leading implantologist in Bangalore,

  • Provide optimal dental implant service to anyone with particular need in any kind of difficulty related to implants with simple techniques
  • Expert in keyhole, blood less, stitches less, immediate implants
  • Expert in giving fixed teeth within a day / Fixed teeth in 3 days/ fixed full mouth teeth in 1 week
  • Specialist in placing implants in reconstructed cases of cancer patients/ tumor/ other lesion cases


Dental Implants - Frequently Asked Questions


Most implants are made of titanium, known for its strength and ability to fuse with bone. Zirconia implants are a metal-free option for patients with allergies.
        

With proper care, implants can last 20 years to a lifetime. They're one of the most durable solutions in dentistry.
        

The surgery is performed under local anesthesia, so pain is minimal. Afterward, mild soreness or swelling may occur but usually subsides within a few days.

        

You're a strong candidate if you:

🟢Have healthy gums
🟢Don't smoke heavily.
🟢Have sufficient bone density.
🟢Practice good oral hygiene.
        

A single implant costs ₹40000 to 70000  while full-mouth implants may cost upwards of ₹ 5 to 10 Lakhs
        

The full procedure can take 3 to 9 months, depending on healing. Same-day implants are possible in select cases.
        

No-just brush, floss, and schedule regular dental checkups.
        

Though rare, risks include infection, nerve damage, or implant failure. Success rates, however, are 95-98
        

Yes, but failures are rare. Smoking, gum disease, and poor hygiene increase the risk.
        

Absolutely. Implants are the closest thing to natural teeth, offering long-term value, comfort, and confidence.
        

Myth 1: Dental implants are painful - Fact: Most patients say it's less painful than a tooth extraction.

Myth 2: Implants look fake - Fact: They look exactly like natural teeth.

Myth 3: Only young people can get implants - Fact: Age isn't a factor; health is more important.
        

🟢Daily Oral Hygiene
🟢Brush twice daily with a soft-bristle toothbrush.
🟢Regular Check-Ups
🟢Visit your dentist every 6 months for professional cleaning.
🟢Foods to Avoid: 
Stay away from chewing ice, hard candy, or anything that may chip the crown.

        

They last a lifetime with proper care.

🟢Pain is minimal with anesthesia.
🟢Costs vary but are a long-term investment.
🟢Care is similar to natural teeth.
🟢Success rates are among the highest in dental procedures.
        

If you're looking for a long-lasting, natural-looking, and functional solution for missing teeth, dental implants are your best bet. They're safe, effective, and backed by decades of success. Speak with your dentist to see if you're a candidate today.